2020-02-21 10:37:50 来源:互联网
病患的诊疗流程中都要进行肺部CT影像检查,根据不同医院发布的诊疗流程,每个病人要进行多次CT影像检查,如今随着湖北特别是武汉新冠肺炎诊疗任务激增,对肺部CT影像的读片速度和准确率都要求更高。高效而准确地解读肺部CT影像,才能更好的为新冠肺炎病患诊疗提供有效依据。
战“疫”前线,AI火速支援CT读片
应前线需求,2月19日,平安智慧城市智慧医疗(简称:平安智慧医疗)新冠肺炎智能阅片系统正式上线,该系统支持远程AI读片和电子胶片影像共享,不仅能在15秒左右出具智能分析结果,而且准确率高达90%,可以帮助放射科医生精准识别病灶、在更短的时间内快速出具诊断报告、同时具备电子胶片影像共享功能,减少重复拍片,可以辅助医生尽早发现、快速报告、精准诊断。
平安智慧城市联席总经理兼首席战略官高孟轩介绍,平安智慧医疗新冠肺炎智能阅片系统一方面可以提升一线放射科医生的效率,尽可能地帮助医生精准地治疗患者。另一方面,面对CT阅片量猛增、疫区一线放射科医生短缺的情况,平安智慧医疗新冠肺炎智能阅片可以通过远程AI读片的方式支援。
据了解,平安智慧医疗新冠肺炎智能阅片系统率先搭载在平安医保科技旗下平安健康(检测)中心研发的“平安好影像”远程诊断云平台,为全国疫区合作定点医院提供7*24小时免费智能远程读片,希望借助双方打造的联合AI实验室,辅助医生高效精准诊断,改善医疗服务体验,从而助力分级诊疗。 新冠肺炎智能阅片系统上线后,“平安好影像”远程诊断云平台的线上阅片量和出具影像诊断报告的质量有望进一步提升。

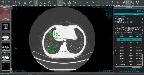
图片说明:平安智慧城市智慧医疗新冠肺炎智能阅片系统为疫区一线进行智能读片,出具智能分析结果
另据介绍,平安智慧医疗新冠肺炎智能阅片系统还开放了自有公有云平台,对需要新冠肺炎智能阅片的医疗机构,可以采用云端或本地部署的方式快速接入,同时支持电子胶片的存储与共享。而且,平安智慧医疗新冠肺炎智能阅片系统还可以快速接入合作伙伴已有的影像会诊平台,为平台已入驻医疗机构提供快速远程智能阅片,和CT设备厂商快速对接,新冠肺炎智能阅片系统植入CT设备中,病人完成胸部CT扫描即可秒出AI报告。
据湖北省卫健委2月13日通报,目前湖北地区疑似病例具有肺炎影像学特征者,均要求纳入临床诊断病例。世卫组织卫生紧急项目负责人在当日记者会上表示,影像学特征能够使医护人员更快、更准确地确认和转移病例,不必等到实验室核酸检测确认,从而能让确诊病例及时进行隔离和治疗。但目前,疫情排查工作正面临着疑似病例多、医护人员少等诸多问题。
包括放射科医生在内的广大抗击一线医护人员从春节到现在还没休息过一天,自疫情爆发后,CT扫描量激增,医生们在每天超负荷的工作压力下也有担忧,“每天需要阅这么多片,除了担心会有遗漏外,再就是难以准确进行定量分析,这对病情的分级并不利”,一位放射科医生曾对媒体表示。
对此,平安集团首席科学家肖京博士表示,新冠肺炎患者在治疗过程中需要反复多次进行CT扫描。对比多次影像是非常耗时且人工无法精确完成的工作,通过平安智慧医疗的这套智能阅片系统,可以有效提高诊断精准度和提升医生读片效率。
平安智慧医疗发挥人工智能科技优势开发的新冠肺炎智能阅片系统,通过人工智能分析引擎,对新冠肺炎CT影像进行智能化分析与定量评价,并对同一患者不同次扫描图像进行对比分析,定量测量病灶的改变情况,辅助医生对患者的病情发展趋势、治疗效果、转归情况等进行智能评估,帮助医生快速、有效的完成对新冠肺炎患者的检出、分诊和评估,辅助医护人员打赢防“疫”战。
方便快捷易普及,为疫情检测提供“双保险”
随着疫情的发展,核酸检测出现覆盖能力不足、检测时间长、假阴性偏高等问题,导致一些患者错过了早期治疗,并延误了隔离时间。相比于核酸检测,CT影像诊断相对更容易普及。
然而,仅靠CT影像,也难以对疫情进行全面排查,再加上新冠肺炎属于新发疾病,各地医疗机构特别是基层普遍缺乏诊断经验。
为此,平安智慧医疗在利用临床诊断数据充分训练AI模型后,推出的“新冠肺炎智能阅片” CT+AI的辅助诊断系统派上了用场,通过智能识别磨玻璃影、肺实变和混合磨玻璃影等功能,帮助医生更为快速和准确识别病灶。并且,该系统背后依托的平安智慧医疗智能影像技术历年来在多个国际医疗影像挑战赛中硕果累累,比如2019年就在国际顶级医疗影像会议ISBI竞赛中获得肺癌病理分割总冠军、内镜影像质控总冠军等成绩。
修我甲兵,与子偕行。平安智慧医疗希望能以“新冠肺炎智能阅片”为利器,助力疫情防控工作,并为夺取战“疫”全面胜利发挥AI的独特作用。
免责声明:本网站(http://www.ciotimes.com/)内容主要来自原创、合作媒体供稿和第三方投稿,凡在本网站出现的信息,均仅供参考。本网站将尽力确保所提供信息的准确性及可靠性,但不保证有关资料的准确性及可靠性,读者在使用前请进一步核实,并对任何自主决定的行为负责。本网站对有关资料所引致的错误、不确或遗漏,概不负任何法律责任。
本网站刊载的所有内容(包括但不仅限文字、图片、LOGO、音频、视频、软件、程序等)版权归原作者所有。任何单位或个人认为本网站中的内容可能涉嫌侵犯其知识产权或存在不实内容时,请及时通知本站,予以删除。
